Ortodoncia: Tu sonrisa perfecta en Esparreguera
En B&G creemos que la ortodoncia es un trabajo en equipo, y ese equipo lo formamos tú y nosotros. Nuestro ortodoncista aporta toda su experiencia, tecnología y planificación para guiar cada paso del tratamiento. Y tú, con tu constancia y confianza, haces que todo funcione. Juntos conseguimos que el proceso sea más fácil, cómodo y rápido, y lo más importante: que disfrutes de una sonrisa alineada y saludable que se mantenga en el tiempo.


Ortodoncia convencional
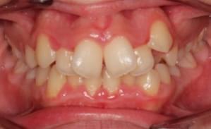
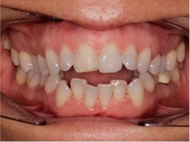
La ortodoncia convencional, comúnmente conocida como brackets metálicos, es el sistema más tradicional y utilizado en la corrección de malposiciones dentarias y alteraciones en la mordida. Consiste en pequeños aditamentos metálicos adheridos a la superficie de los dientes, conectados entre sí mediante un arco que guía el movimiento dentario de forma progresiva.
En B&G tenemos varios tipos de brackets a parte de los metálicos, también existe la opción de brackets estéticos (son blancos) y brackets linguales.


Ventajas
- Es el método más eficaz para casos complejos y maloclusiones severas.
- Entre todas las opciones de ortodoncia, los brackets metálicos son el tratamiento más asequible, gracias a la sencillez de su diseño y al bajo coste de sus materiales.
- Permite un control muy preciso del movimiento dentario por parte del ortodoncista.
- El hecho de que sea un tipo de ortodoncia fija, hace que resulte imposible perderla, por lo que evita tener que adquirir un nuevo aparato cuando se extravía, algo habitual en la ortodoncia removible.
Inconvenientes
- Menor estética durante el tratamiento, debido a la visibilidad de los brackets metálicos.
- Puede causar pequeñas molestias en labios y mejillas.
- Mayor dificultad en la higiene oral, requiriendo más cuidado y dedicación.
- Restricciones alimentarias para evitar daños en el aparato.
Los brackets metálicos son la opción de ortodoncia ideal para los que buscan un tratamiento altamente efectivo y mínimamente costoso, en comparación con otros sistemas de alineación dental.


Pasos del tratamiento con ortodoncia convencional
- Estudio previo: radiografías, fotografías y modelos de la boca.
- Colocación de brackets y arco inicial.
- Ajustes periódicos cada 4-6 semanas.
- Control de higiene y revisiones regulares.
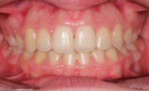
- Retirada de brackets al finalizar la corrección.
- Colocación de retenedores para mantener la posición conseguida.
Ortodoncia invisible
En nuestra clínica, te ofrecemos alineadores invisibles de última generación para corregir la alineación de tus dientes de manera discreta y cómoda. Estos alineadores, hechos a medida, son una alternativa eficaz a los brackets tradicionales, diseñados para proporcionar resultados óptimos sin comprometer tu apariencia.
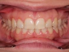
La ortodoncia invisible se basa en el uso de alineadores transparentes, fabricados a medida, que se cambian periódicamente para guiar el movimiento dentario. Este sistema es altamente estético y permite una mayor comodidad al ser removible, lo que facilita la higiene y la alimentación.
En nuestra clínica B&G trabajamos exclusivamente con el sistema Invisalign®, líder mundial en ortodoncia invisible. Hemos elegido Invisalign porque ofrece una precisión y comodidad superiores a otros alineadores, gracias a su tecnología digital avanzada y a su material exclusivo, lo que garantiza resultados más predecibles y seguros para nuestros pacientes.
Ventajas
- Máxima estética, ya que los alineadores son prácticamente imperceptibles.
- Mayor comodidad, sin rozaduras ni molestias asociadas a los brackets.
- Removibles, lo que facilita la higiene oral y permite comer sin restricciones.
- Menor número de visitas al ortodoncista en comparación con los brackets.
Inconvenientes
- No es adecuado para todos los casos, especialmente los más complejos. Aunque realmente cada vez son menos los casos que no se pueden tratar con férulas de ortodoncia.
- Requiere disciplina del paciente: los alineadores deben llevarse entre 20 y 22 horas al día.
- Puede ser más costoso que la ortodoncia convencional.
¿Por qué elegir Invisalign y no otra ortodoncia invisible?
Invisalign ofrece ventajas únicas que lo convierten en la opción más segura, eficaz y predecible.
- Tecnología exclusiva y precisión digital: Invisalign utiliza el software ClinCheck®, que permite planificar cada movimiento dental de forma virtual antes de empezar el tratamiento. Esto garantiza un resultado mucho más predecible que con otros alineadores genéricos.
- Material patentado SmartTrack®: Los alineadores Invisalign están fabricados con un material exclusivo que no encontrarás en ninguna otra marca. Esto proporciona un mejor ajuste, mayor comodidad y movimientos dentales más rápidos y controlados.
- Amplia experiencia clínica: Con más de 15 millones de sonrisas transformadas en todo el mundo, Invisalign cuenta con una trayectoria avalada por millones de pacientes y profesionales. Es la marca más estudiada y validada científicamente en el campo de los alineadores.
- Comodidad y estética superiores: Los alineadores Invisalign son más finos, transparentes y cómodos que la mayoría de alternativas, lo que se traduce en un tratamiento más discreto y llevadero en el día a día.
- Control profesional constante: Al estar únicamente disponible a través de dentistas certificados, Invisalign garantiza que cada fase del tratamiento está controlada por un profesional especializado, asegurando los mejores resultados para tu sonrisa.
👉 En resumen: no todos los alineadores son iguales. Con Invisalign tendrás la confianza de estar eligiendo el sistema más innovador, cómodo y fiable del mundo.


Pasos del tratamiento con ortodoncia invisible
- Estudio previo digital con escaneo intraoral, fotografías y radiografías.
- Planificación virtual del tratamiento y visualización del resultado final estimado.
- Fabricación de alineadores a medida.
- Uso de alineadores entre 20 y 22 horas al día, cambiándolos cada 1-2 semanas.
- Revisiones periódicas para evaluar el progreso.
- Colocación de retenedores tras finalizar el tratamiento para mantener los resultados.




Ortodoncia interceptiva y ortodoncia con brackets