¿Qué es la odontopediatría?
La odontopediatría es la especialidad de la odontología que cuida la salud bucodental de bebés, niños y adolescentes. Acompaña cada etapa del crecimiento (dentición temporal, mixta y permanente joven) con un enfoque de prevención, mínima intervención y manejo del comportamiento infantil. El objetivo es que los peques crezcan con bocas sanas y, sobre todo, con experiencias positivas en el dentista.

Tratamientos de odontopediatría
- Primera visita del bebé y plan de prevención: Valoración desde la erupción del primer diente o antes del primer año. Incluye evaluación de riesgo de caries, pautas de higiene, lactancia/alimentación y calendario de revisiones.
- Revisiones periódicas y educación en higiene: Controles cada 6–12 meses según riesgo, con enseñanza de cepillado según edad, elección de pasta fluorada y hábitos saludables.
- Profilaxis profesional: Limpieza suave para eliminar placa y manchas, reforzar la higiene y mantener encías sanas.
- Aplicaciones de flúor: Barnices o geles tópicos para remineralizar el esmalte y reducir el riesgo de caries en pacientes con susceptibilidad.
- Selladores de fisuras: Una resina fluida que sella los surcos de molares y premolares para prevenir caries en superficies masticatorias.


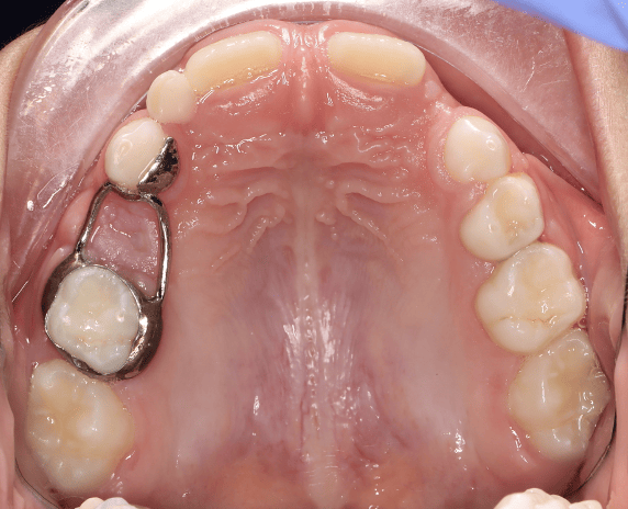
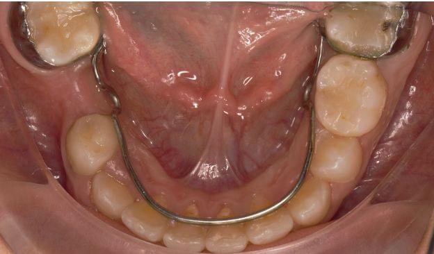
Mantenedores de espacio
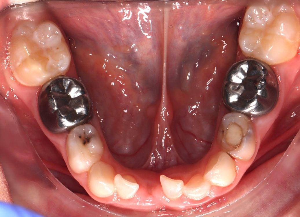
- Obturaciones en dientes de leche y permanentes jóvenes, respetando al máximo el tejido sano.
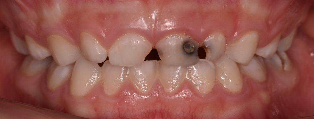
- Tratamientos pulpares en dientes temporales: Pulpotomía o pulpectomía cuando la caries afecta la pulpa, para conservar el diente hasta su recambio natural y evitar infecciones.
- Traumatología dental infantil: Atención a golpes, fracturas, intrusiones o avulsiones. Incluye férulas, control de vitalidad y seguimiento del desarrollo radicular.
- Mantenimiento de espacio: Dispositivos fijos o removibles para conservar el espacio cuando se pierde un diente de leche de forma prematura y prevenir apiñamientos.
- Ortodoncia interceptiva: Tratamientos tempranos (expansión, pistas, guías) para corregir maloclusiones y favorecer un crecimiento armónico; pueden simplificar la ortodoncia futura.

- Manejo de hábitos orales: Intervención sobre succión digital, uso prolongado de chupete, interposición lingual o respiración oral, con terapia miofuncional cuando es necesario.
- Manejo de hipomineralización molar-incisiva (HMI): Protocolos para sensibilidad y caries en esmalte débil; desde remineralización hasta restauraciones adhesivas o coronas pediátricas cuando procede.
- Tratamientos no invasivos/atraumáticos: Desbridado químico-mecánico, infiltración de lesiones blancas y, en casos seleccionados, agentes arrestadores de caries.
- Frenectomías y tejidos blandos: Valoración del frenillo lingual/labial cuando interfiere en lactancia, habla o higiene; cirugía mínimamente invasiva y coordinación con logopedia si se precisa.
- Sedación consciente con óxido nitroso (cuando está indicada): Opción segura para niños ansiosos o con necesidades especiales, manteniendo la colaboración y el reflejo protector.
- Radiología digital de baja dosis y escaneo intraoral: Diagnóstico preciso con radiografías digitales y escáner intraoral 3D, reduciendo radiación y evitando las incómodas impresiones convencionales.


Grandes reconstrucciones

¿Por qué realizar la odontopediatría en nuestra clínica?
- Especialista dedicado en odontopediatría: Tu hij@ será atendid@ por un profesional con formación específica y continua en infancia y manejo del comportamiento.
- Docencia universitaria (UIC Barcelona): Aportamos criterio académico y protocolos basados en evidencia actualizada.
- Experiencias positivas: Consultas adaptadas a cada edad, lenguaje cercano y técnicas de desensibilización para que venir al dentista no dé miedo.
- Tecnología avanzada de última generación: Radiología digital de baja dosis, escáner intraoral para ofrecer diagnósticos precisos y tratamientos personalizados y opción de sedación con óxido nitroso en casos indicados.
- Enfoque de mínima intervención: Prioridad a la prevención y a tratamientos conservadores, respetando el desarrollo natural.
- Atención a urgencias infantiles: Circuito rápido para traumatismos y dolor agudo.
- Coordinación interdisciplinar: Trabajo conjunto con ortodoncia, logopedia y pediatría cuando se necesita.
- Comunicación clara con las familias: Explicamos cada diagnóstico y alternativa terapéutica, con presupuestos transparentes.
- Una experiencia para toda la familia: Cada miembro de la familia encuentra lo que necesita; los más pequeños disfrutan de un ambiente sin estrés, mientras que los adolescentes y padres cuentan con cuidado bucodental personalizado y un equipo cercano.
- Resultados y confianza: Cuidamos la salud oral de tus peques con el mismo cariño y rigor con el que trataríamos a los nuestros.


Pacientes con policaries