Estética Dental: Innovación y tecnología avanzada para tu sonrisa
En nuestra clínica apostamos por la estética dental de vanguardia, uniendo la experiencia profesional con las técnicas más innovadoras y la tecnología digital 3D más avanzada. Nuestro objetivo es conseguir una sonrisa armónica, saludable y natural, adaptada a las proporciones de tu rostro y a tu personalidad.
La estética dental no se limita solo a la parte visual, sino que combina ciencia, planificación digital y arte para crear sonrisas únicas y personalizadas.


Alargamiento de corona y carillas de composite
Diseño de sonrisa digital
El diseño digital de la sonrisa (DSD) es la base de un tratamiento estético predecible y a medida. Gracias a la planificación 3D y un diseño 100% digital, podemos mostrarte cómo será tu sonrisa antes de empezar el tratamiento.
¿En qué consiste?
- Escáner 3D, fotografías y vídeo: Capturamos imágenes de tu boca, rostro y expresiones faciales en alta definición.
- Análisis y evaluación: Estudiamos tus facciones y tu sonrisa para definir las proporciones ideales y diseñar tu futura sonrisa personalizada.
- Modelado digital y físico: El diseño virtual se transforma en un molde físico que reproduce con exactitud el resultado planificado.
- Simulación REAL: Podrás ver cómo quedará tu sonrisa antes de iniciar el tratamiento, lo que nos permite realizar los ajustes necesarios con total seguridad.
Carillas dentales
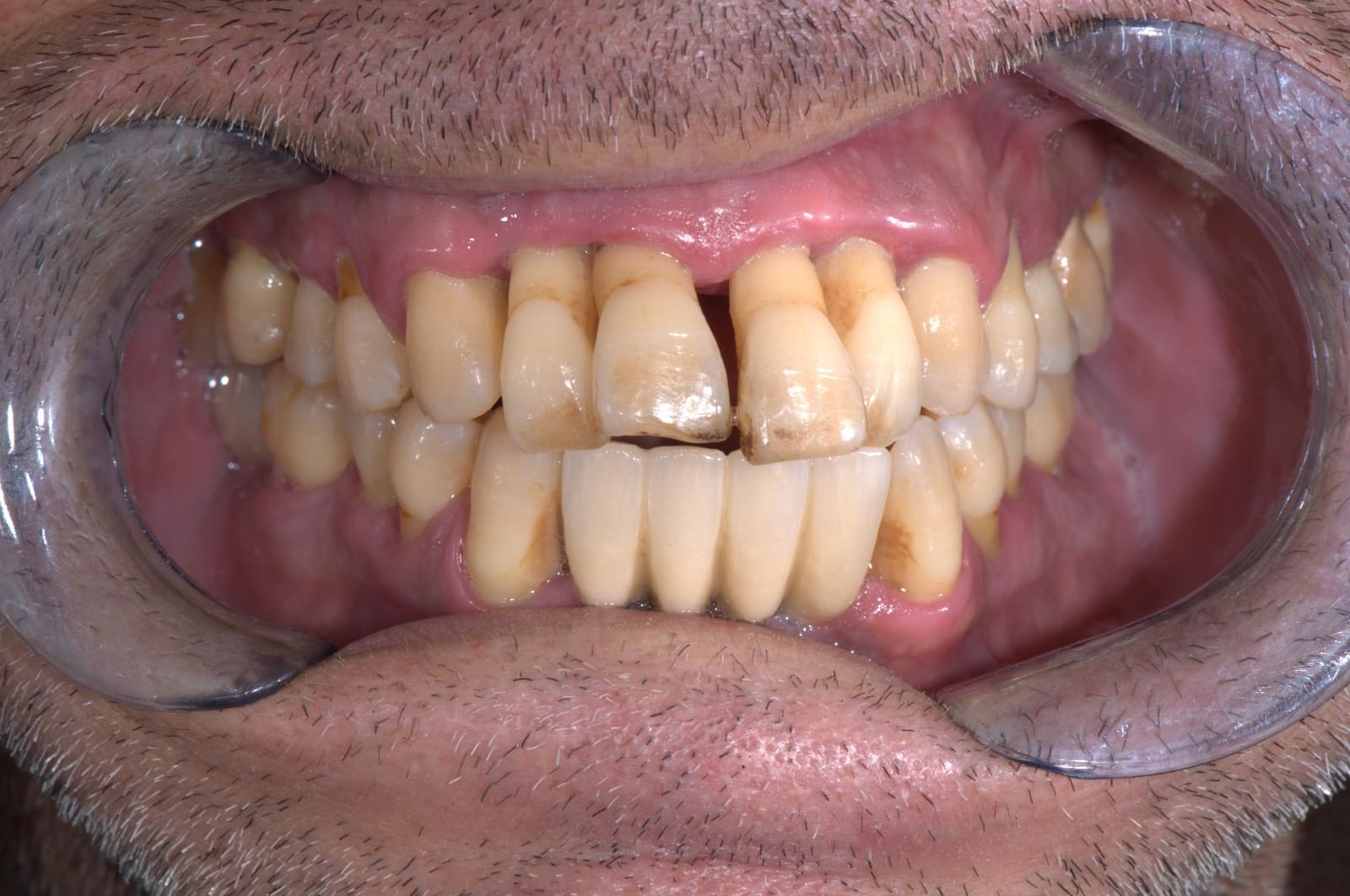
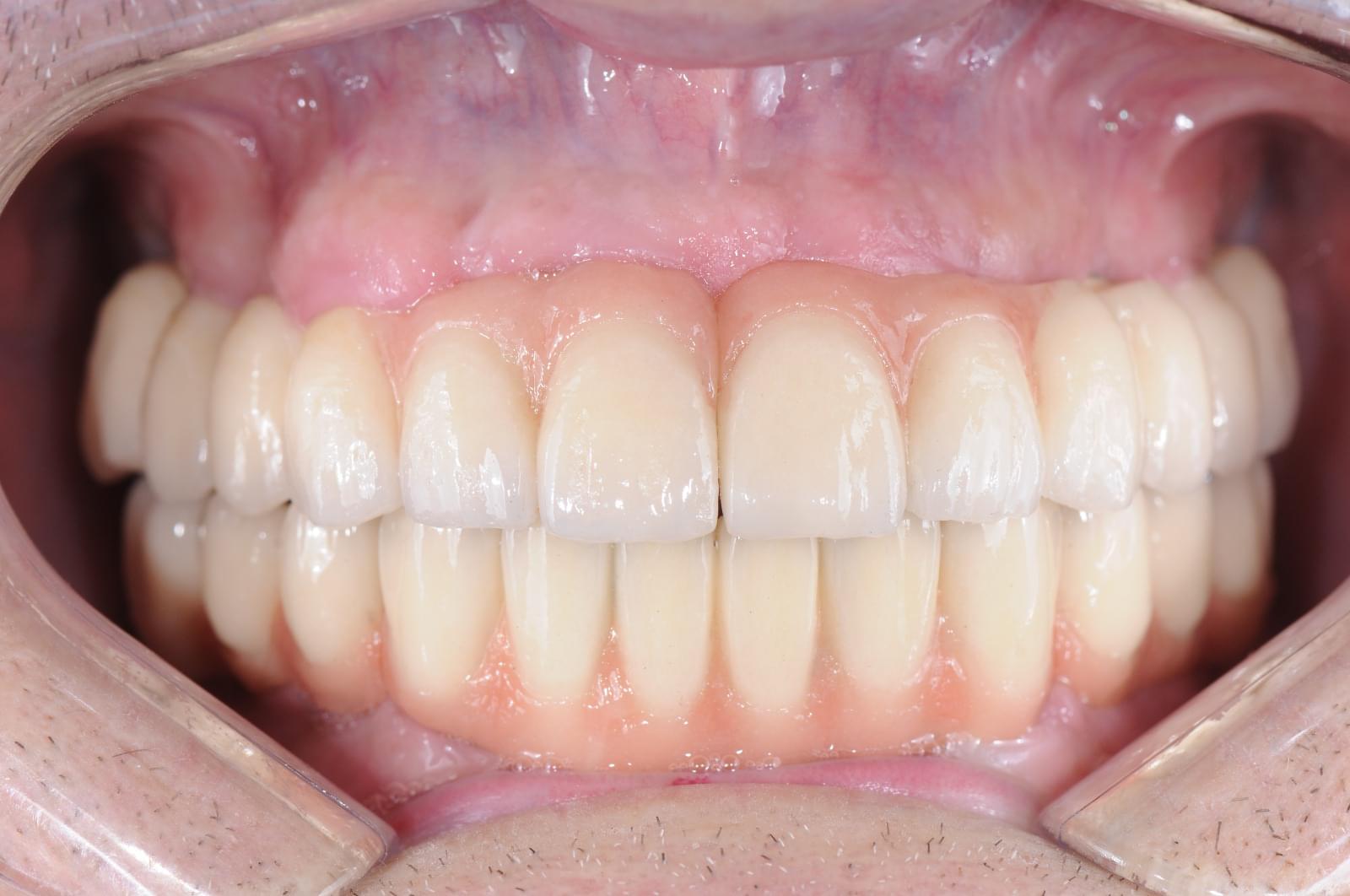
Las carillas dentales son uno de los tratamientos más demandados en estética dental. Son finas láminas que se adhieren a la parte visible de los dientes para mejorar su forma, color y proporciones. Para casos más complejos, también podemos ofrecer otros tratamientos donde se engloba más superficie dentaria y así poder camuflar mejor color, forma… de la pieza dentaria.
- Resultado natural y duradero
- Tratamiento mínimamente invasivo
- Tecnología 3D para máxima precisión
- Experiencia y especialización del Dr. Gil en estética dental
Gracias a la digitalización, el proceso es más seguro, exacto y totalmente adaptado a cada paciente.


Estética (alargamiento de corona, carilla composite) y ortodoncia
Blanqueamiento dental
El blanqueamiento dental es un tratamiento estético que devuelve la luminosidad y el blanco natural a tus dientes de forma gradual, cómoda y sin sensibilidad.
¿Cómo se realiza?
- En casa y/o en clínica: podemos combinar ambas técnicas para lograr el mejor resultado.
- Tratamiento personalizado: adaptamos el nivel de blanco a tu sonrisa y necesidades.
- Proceso sencillo: férulas personalizadas y gel blanqueador aplicados de manera controlada.
El resultado es una sonrisa más brillante y rejuvenecida, siempre cuidando la salud del esmalte.
La estética dental es mucho más que tener dientes bonitos: es recuperar seguridad, confianza y la mejor versión de tu sonrisa.


















